1肝胆外科一周战报 一周之内,3台肝叶切除手术,3个被肝胆结石折磨多年的患者,全部顺利完成手术。这不是什么纪录片里的情节,是隆回县人民医院肝胆外科在一周之内干的事。

满腹结石,最大的有核桃那么大
72岁的奉老太,一辈子没走出过隆回虎形山瑶族乡的大山。山里日子安静,唯独肚子不安分——右上腹反反复复疼了5年,最近一个月疼到直不起腰。
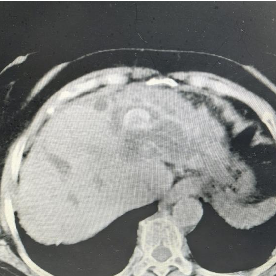
送来医院一查,CT和磁共振片子上左肝内胆管和胆总管里密密麻麻全是结石,最大那颗跟核桃似的堵在那儿。肝内胆管结石、胆总管结石伴急性胆管炎、胆汁型肝硬化,老太太的皮肤和眼白都泛着黄。
01
术前CT


3月6日,手术室。
主刀医生沿右肋缘做了个切口、逐层切开入腹探查——胆总管囊状扩张,结石像一座微型石林,层层叠叠卡在胆总管及肝内胆管,有的已经跟胆管壁长在一起,左半肝部分纤维化萎缩。团队果断进行手术:左半肝直接切除,这叫解剖性肝叶切除,沿肝脏天然分界线精准切割,该留的一寸不多切,该去的毫不含糊;胆囊一并拿掉;接着进行胆总管探查取石,随着取石钳将结石一颗一颗清理干净,术中探测oddi括约肌失能,于是同时行胆肠内引流,胆总管与空肠吻合改道手术,最后T管引流。
术中出血少,视野干干净净,血压维持稳定。

术前磁共振显示
术后带气管导管送入医院重症医学科(ICU病房)接受精心治疗,密切观察生命体征平稳后再转回肝胆外科病房继续治疗。
让人欣慰的是,奉老太恢复得比预想快得多。科室全面推行的ERAS加速康复方案起了作用:术后尽早下床、尽早进食、优化镇痛,让患者少遭罪、早出院。

1
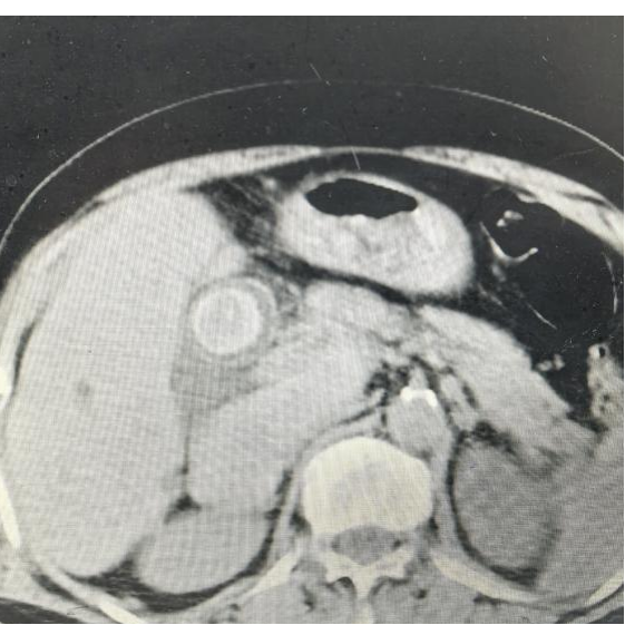
术后复查CT
出院那天,家属发来一面电子锦旗:“医德高尚,医术精湛;精心护理,热情周到!”

“比我想象中轻松好多。”
—— 72岁的奉老太术后感言
两台腹腔镜微创,接力拿下
这一周,奉老太的故事不算个例。
69岁的魏阿姨,隆回县羊古坳人,右上腹疼痛一周,皮肤眼白都黄了。诊断:左肝内胆管及胆总管多发结石并急性胆管炎,胆囊结石并急性胆囊炎。3月2日,腹腔镜下左肝外叶切除,联合胆道镜行胆总管切开取石探查手术,加胆囊切除和T管引流。

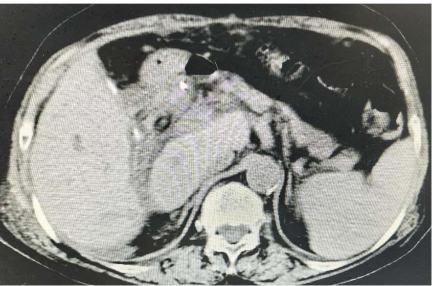
术前CT显示
整台手术在几个小孔里完成。腹腔镜提供高清视野,胆道镜深入胆管内部直视取石,两者打配合,结石一个不漏。术后第2天魏阿姨就能下床活动,肚子上几个小创口贴一贴,没几天就长好了。

2
术后复查CT
同龄的谭阿姨,隆回北面鸭田人,上腹疼痛3天来院。她的情况更棘手:肝内外胆管多发结石和急性胆管炎之外,还有2型糖尿病、高血压病3级(高危组)。手术考验的不仅是外科医师的技术,还有麻醉和围手术期管理的整体功底。

术前CT显示


术前磁共振显示

3月7日,同样的腹腔镜方案:腹腔镜下左肝外叶切除,联合胆道镜胆总管切开取石和T管引流。手术顺利,术后血糖血压稳稳当当,谭阿姨恢复不错,如期出院。

3
术后复查CT
3位患者,年龄69到72岁,都有多年胆管结石病史,都在一周内做了肝叶切除,都平平安安回了家。
肝胆管结石:南方人的“隐形炸弹”
肝胆管结石病听着不怎么吓人,实际上非常缠人。这是我国中西部地区的多发病,在湖南尤其常见,几乎是胆道外科的“常客”。临床数据显示,南方发病率明显高于北方,跟饮食习惯、胆道反复感染、胆汁成分异常脱不开关系。
这病最让人头疼的地方在于:病程拖得久,病理变化复杂,临床诊治起来费劲。结石堵在胆管里反复引发感染,胆管壁发炎、增厚、狭窄,形成恶性循环,术后残石率、复发率和再手术率都居高不下。一直拖着不治,胆汁性肝硬化甚至胆管癌等并发症都有可能找上门。换句话说,该治的时候不治,后面只会更被动。
腹腔镜下切肝:小孔里做大事
很多人听到“肝切除”,第一反应是“开膛破肚”。二三十年前确实都是这样。但现在不一样了。
目前腹腔镜技术在肝脏手术中的应用已经从摸索期进入了常规期,随着该项技术愈发成熟,在肝脏疾病中的应用也越来越广泛,不管是良性病变还是恶性肿瘤,腹腔镜下操作都相当成熟。切口只有0.5到1厘米的几个小孔,对比传统开腹二三十厘米的大口子,创伤直接小了一个量级。术后一两天就能下床,出血更少、恢复更快、肚子上也没有长长的疤痕。

隆回县人民医院肝胆疝外科团队已常规熟练开展腹腔镜下肝叶切除手术6年,现在再加上三维重建、荧光染色、术中超声和3D腹腔镜加持,行解剖性肝切除,精准肝切除——术前精确规划切除范围,术中沿着肝内管道走行精准分离,该留的正常肝组织尽量保留,该去的病变部分干干净净。
手术更精准,手术时间更短,出血更少,患者住院时间更短,费用更低,这几句话说起来轻巧,背后是整个团队6年如一日的磨练和迭代。
腹腔镜下肝切除优势:
1. 创伤小、恢复快;
2.出血量少、输血率低;
3.手术视野清晰、精准度高;
4.心理创伤小;
5.便于后续治疗。
一周三台,不是终点

3台手术,3个家庭,从结石的折磨里解脱出来。对隆回县人民医院肝胆外科来说,这是忙碌的一周,也是普通的一周。因为下周,还有新的患者在等着。
肝切除,祛顽石,
一周多台,解除病痛!
——隆回县人民医院肝胆疝外科 · 2026年3月
科室地址:医院新综合住院楼11楼
垂询电话:0739-8997111
初稿:刘胜钱(肝胆外科)
文案整理:龙图娟
病例资料及图片提供:刘俊超 刘胜钱 丁磊 刘丰(肝胆外科)
编辑:宣传科
一审:周雅菁
二审:王永华
三审:王小军