两个头吗?
是两个头吗?

谢大爷往那一站,好家伙
“您猜怎么着?谢大爷背上的瘤子大到啥程度?从后边儿一瞅,嘿!跟长了俩脑袋似的!不知道的还以为他在修炼什么‘双头神功’!”

跟长了俩脑袋似的
下面请看病程回放:
感觉像是卸下了一座大山
“感觉像是卸下了一座大山!”2月28日下午,刚刚做完手术的隆回73岁谢大爷感慨道。
从鸡蛋大到半个篮球大,谁能想到,这个跟随了他整整20年的“包袱”,切下来一称,竟然足足有两斤重!
近日,隆回县人民医院胸外乳甲外科成功为一位古稀老人切除了背部罕见的巨大“脂肪瘤”,不仅解除了老人的身体痛苦,更卸下了他心头沉重的“包袱”。
“小鸡蛋”默默长成“半个篮球”

巨
瘤

故事要回溯到20年前,谢大爷无意中发现自己的后背部鼓起了一个“鸡蛋”大小的包块。由于不痛不痒,并未影响日常生活,他和家人都没太当回事。然而,这个“小疙瘩”却在漫长的岁月里悄然“疯长”。
直到今年1月初,谢大爷感觉背部的“包袱”越来越沉,甚至像一座大山沉甸甸地压在身上,这才在2月26日上午来到隆回县人民医院就诊。
门诊医师看到谢大爷背部的肿块时也吃了一惊:肿块巨大,从背后望去,竟好似老人长了两个头一样!超声检查提示:后背部脂肪层内包块,考虑巨大“脂肪瘤”,将其收住医院胸外乳甲外科。

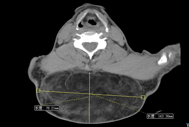
入院后的胸部CT检查进一步印证了门诊超声的诊断——即便是在卧位受压的状态下,这个肿块的尺寸也达到了惊人的8.1*16.3厘米!
专家妙手“拆弹”,完整卸下2斤重负
面对如此巨大的肿瘤,再加上谢大爷已是73岁高龄,入院时血压一度高达200/81mmHg(高血压3级,极高危组),手术风险和麻醉难度都成倍增加。但若不手术,肿瘤继续增大,将严重影响老人的生活质量。
为了帮助老人彻底卸下这个“包袱”,医院胸外乳甲外科团队和麻醉手术中心进行了周密的术前准备,将患者血压控制平稳后,于2月28日上午为其实施了肿块切除手术。


手术图片,胆小慎入
01
成功拆除肿瘤
术中,医生们在谢大爷背部作了一个梭形切口,小心翼翼地完整剥离并切除了这个巨大的脂肪瘤。术后测量,切除的肿块竟然长达16厘米,宽12厘米,足足有半个篮球大小,称重达两斤!
术前谢大爷相当于背负一个两斤重的大肉球“负重前行”……
术后,切除的肿块经病理检查,确诊为良性的“脂肪瘤”。经过医护人员的精心护理,谢大爷恢复良好,并于3月4日上午平安出院。出院时,他久违的挺直了腰板,步伐也轻快了许多。

科普时间:
发现肿块,早重视,莫大意!
谢大爷的病例虽然最终结果是良性的,但它给所有人敲响了警钟:身体上任何异常增大的“肿块”,都应引起高度重视。
1. 脂肪瘤到底是什么?
脂肪瘤是一种由成熟脂肪组织构成的良性肿瘤,可以发生在身体任何有脂肪的部位。它通常摸起来质地柔软、边界清晰、活动度好,一般没有疼痛感,生长缓慢。正因为这些“温和”的特性,很容易被人忽视。
2. 为什么不能放任不管?
虽然绝大多数脂肪瘤是良性的,但像谢大爷这样放任其生长20年,会带来一系列问题:
· 压迫症状:当肿瘤长到巨大时,会压迫周围的神经、血管或组织,导致疼痛、不适或功能障碍。
· 影响生活: 巨大的体表肿瘤不仅影响外观,还会给患者带来沉重的心理负担和行动不便。
· 增加手术难度: 肿瘤越大,手术切除的范围就越大,创伤也越大,对患者尤其是高龄、有基础疾病的患者来说,手术风险和恢复难度都会显著增加。
· 潜在的恶变风险:虽然极低,但任何肿瘤都存在一定的恶变可能。早期切除可以明确病理诊断,彻底排除隐患。
3. 哪些情况需要警惕?
如果发现身上的肿块出现以下变化,请务必及时就医:
· 短期内迅速增大。
· 质地变硬,或与周围组织粘连,推不动。
· 表面皮肤出现破溃、感染、颜色改变。
· 出现明显的疼痛、麻木感。
01
医学科普

总结:
身体是革命的本钱,任何细微的变化都是身体发出的信号。不要因为“不痛不痒”就掉以轻心,更不要把小病拖成大病。定期自我检查,发现异常肿块尽早就医,让专业医生进行评估,这才是对自己健康最负责任的态度。早发现、早诊断、早治疗,永远是应对疾病最好的武器。
隆回县人民医院胸外乳甲外科
科室地址:医院新综合住院楼8楼
垂询电话:0739-8997108
我们期待您的每一个转发,因为它可以让这份医患同心的温暖故事被更多人看见!
文案设计:龙图娟
病例资料及手术图片提供:隆涛(胸外乳甲外科)
编辑:宣传科
一审:周雅菁
二审:王永华
三审:王小军