“鱼腹藏剑”算什么,你们还见过有人腹中“藏剑” 吗?

当然见过!
人类的“腹中藏剑”更离谱!

冬日

第一幕:冬日急症,不寻常的腹痛信号
2025年12月16日上午,隆回县人民医院内科门诊,时钟即将指向11点。69岁的刘老伯蜷缩在诊断床上,额头上渗出细密的汗珠。
“疼……像有根针在肚子里搅……”持续3天的脐周疼痛,在16日凌晨骤然加剧——转为剧烈绞痛,阵阵恶心随之袭来。
01
2025
腹痛
如绞

他紧紧捂着腹部,声音发颤:“这肚子疼得跟打锣鼓一样,一阵紧过一阵!”
门诊以“腹痛查因”将其收治入院。
第二幕:腹痛3天如打鼓,CT照出腹中“剑”
转至医院肛肠外科住院部,值班医生俯身触诊,手指轻触患者腹部时,刘老伯的肌肉便骤然绷紧。
“不像是普通的腹痛……”医生低声嘱咐护士,“马上安排增强CT,通知手术室待命。”

墙上的时钟滴答作响,每一秒都格外沉重。
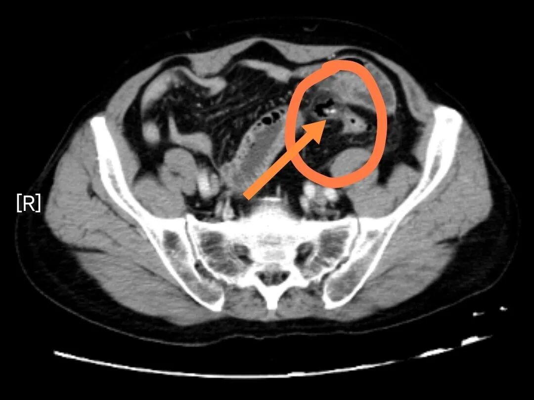
CT惊魂,影像里的致命阴影:
CT室内,机器运转的嗡鸣声在寂静中格外清晰。当影像出现在屏幕上时,在场所有医生都倒吸一口凉气——刘老伯的乙状结肠区域,一道长达42毫米的条状阴影赫然在目,像一把出鞘的利剑刺穿肠壁。周围弥漫的渗出灶和气体影,预示着肠穿孔已经发生,邻近小肠已出现粘连与扩张,腹腔感染正在蔓延。

影像诊断明确:乙状结肠异物伴穿孔、周围渗出;部分小肠扩张,考虑粘连性肠梗阻!
“这简直是‘肚子里藏了柄剑’!”有人低声惊叹。
“穿孔超过24小时,感染性休克风险显著增高。”盯着屏幕,医生语气凝重,“通知麻醉科,准备急诊剖腹探查。这是和时间赛跑的手术。”
手术同意书上,家属颤抖的手签下了名字。此刻,距离异物穿孔已经过去至少72小时。
第三幕:手术台上现奇观,4厘米竹片惊全场
时间不等人,急诊剖腹探查立刻进行——
腹腔打开的那一刻,一股脓液气味弥漫开来:
手术刀轻轻划开,眼前的景象让主刀医生都愣了3秒钟——患者小肠广泛扩张,局部粘连于左下腹降结肠及乙状结肠处,已经形成拳头大小的脓肿,肠壁组织水肿脆弱得像浸水的纸!
“吸引器准备,小心清理脓肿。”主刀医生的声音冷静而专注。
小心分离粘连、清除脓肿后,发现部分小肠浆膜层破裂。修补破裂的肠壁、医生在扩张最明显处做了个“荷包减压”,这手法堪比给气球放气的艺术大师。
手术室里的精准拆弹:
最精彩的时刻来了!当脓肿被清除后,刘老伯乙状结肠处一个仅0.3×0.2厘米的微小破口暴露出来,破口周围糊满了脓苔,像极了过期奶酪。
就在所有人凝神静气时,器械护士递来了特殊的细长镊子。主刀医生的手稳如磐石,镊尖探入破口,缓缓向外牵引——一根4厘米长、0.2厘米宽的竖条状异物应声而出!表面还沾着血丝和脓液。


2025 SUMMARY
手术室里顿时响起一片压抑的惊呼:“这是竹片?老人家肚子里长竹子啦?”
“穿孔位置在乙状结肠最狭窄处,竹片刚好横卡在这里。”主刀医生举起竹片。
腹腔大扫除,临时造口巧安排:
取出的竹片被郑重放进标本盘,医生们开始为刘老伯进行“腹腔大扫除”:大量生理盐水反复冲洗腹腔,把脓液和杂质冲得干干净净。接着,医生在患者左下腹开了个直径3厘米的圆形切口,精巧得像是裁剪师的作品,将受损的乙状结肠从这个“新窗口”拉出,做了个双腔造口——这相当于给肠道开了个“临时应急出口”。
接下来的日子像慢放的电影:


抗感染、对症支持治疗双管齐下,术后伤口换药成了必修课。每一天,医护人员都在与可能的并发症赛跑——肠瘘、腹腔再感染、造口坏死……
随着引流管一根根拔除,造口周围的皮肤从红肿恢复到正常颜色,刘老伯从流质饮食逐步过渡到半流食,病情一天天好转。2025年12月29日,术后第13天,在完成最后一次换药后,主管医生宣布:“可以出院了。”阳光透过病房窗户,照在患者终于舒展的眉宇间。
出院时他摸着肚子笑道:“这下好了,肚子里不再‘舞刀弄剑’了!”

这场与4厘米竹片的生死较量,不仅展现了当代医学应对急危重症的能力,更敲响了日常安全的警钟。在隆回县人民医院的病历档案里,这份记录将永远提醒着医患双方:生命有时脆弱如纸,但科学的精准和医护的坚守,能在最危险的时刻筑起最坚固的生命防线。
尾声:那些不为人知的危险时刻:
“我完全不知道什么时候吞下的竹片。”住院时刘老伯曾经感慨地说过。医生分析,这可能来自某次进食时不慎混入的竹签碎片,或是传统食品、糕点中未清理干净的竹制器具部件。
02
2025
不慎
吞入
隆回县人民医院外科专家温馨提示:
进食需细嚼慢咽,异物切勿乱尝试;
若不慎吞下异物,及时就医莫迟疑!
尤其是老年人因感觉迟钝、吞咽功能下降,更易发生此类意外。
毕竟不是谁都能像刘老伯这样,让竹片在肚子里“三日游”后还能全身而退的!
03
2025
医学
警示
医学警示:
误食异物后,切忌采用吞饭团、喝醋等土方法;
及时就医是避免悲剧发生的唯一正确选择!
文案设计:龙图娟
部分资料提供:肛肠外科
部分图片:来源于网络
编辑:宣传科
一审:周雅菁
二审:王永华
三审:王小军