近日,隆回县人民医院超声科介入组医师在科室主任刘彦带领下,成功完成首例较高难度超声引导下经皮经肝胆囊造瘘(PTGD)术,填补了隆回县介入超声治疗领域这一项目的空白,也让科室介入超声水平迈上新的台阶。
病例介绍
“不开刀、无痛苦,感谢人民医院的医师为我及时会诊治疗,解除腹痛……”9月25日上午,在隆回县人民医院肿瘤血液内科住院的患者杨女士(化名)病情明显缓解,家属为她办理好出院手续。
今年59岁的杨女士,不久前因结肠癌行过手术及化疗,本次腹痛伴呕吐2天入住医院肿瘤血液内科,住院期间行彩超显示“急性胆囊炎、胆囊多发结石、胆囊肿大”,患者当时胆囊体积显著增大约104x48mm,张力大,医师考虑杨女士腹痛、呕吐为胆囊疾病所致。因患者年龄偏大,基础疾病多且合并其它并发症,经医院肝胆疝外科魏仁军主治医师会诊后认为患者手术风险大,目前暂时无法耐受手术切除,但是根据病情急需胆囊减压,与肿瘤科李宏新医师和超声科刘彦主任商量后,决定行超声引导下经皮经肝胆囊造瘘(PTGD)术。
经过充分的术前评估,9月22日下午,在医院彩超介入室给患者进行局部麻醉后,超声科主任刘彦带领科室介入组医师在超声引导下为杨女士施行了超声引导下经皮经肝胆囊造瘘(PTGD)术——术中18G PTC针顺利进入胆囊,回抽见墨绿色浑浊液体,后置入“8.5F猪尾型”引流管,引流通畅,手术全程顺利,患者术后疼痛在对症治疗后24小时内明显好转,之后于9月25日上午办理出院。


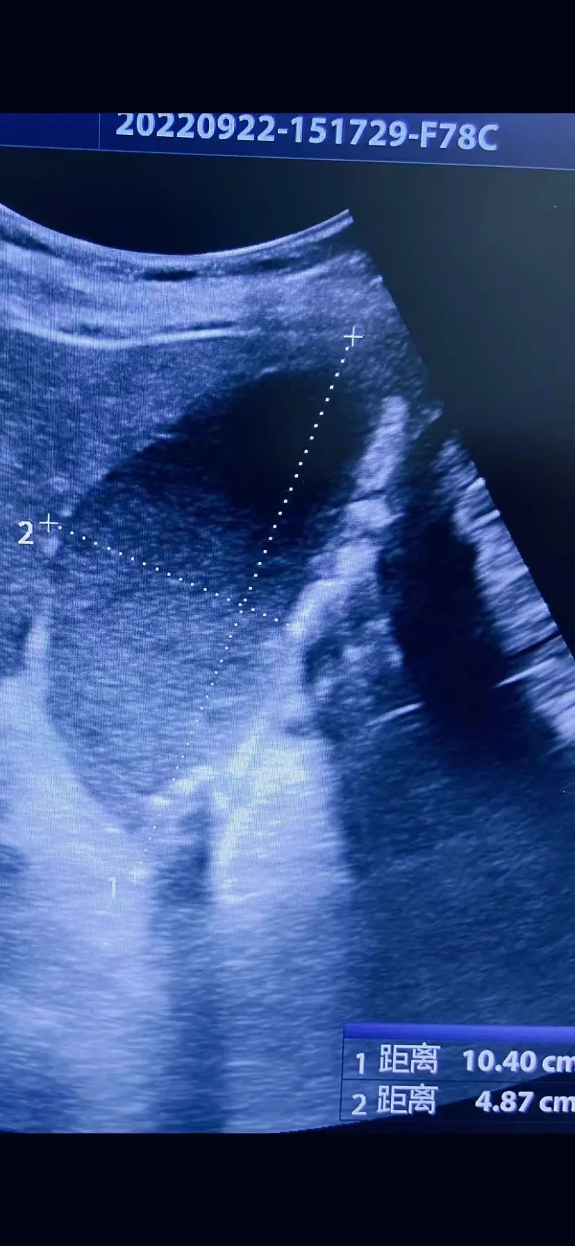
术前胆囊大小104X48.7mm,形态饱满张力大(左),
术后胆囊大小51X20mm,体积明显缩小(右)



抽出并引流出墨绿色胆汁
相关科普:PTGD术与急性胆囊炎
急性胆囊炎是普外科常见的一种十分凶险的急腹症,胆囊切除是治疗该病最有效的手段,但患者常因病情危重、年龄偏大或者有严重合并症,难以耐受胆囊切除手术。
超声引导下经皮经肝胆囊造瘘术(PTGD)是一种微创治疗方式,可迅速引流出胆囊内淤积的胆汁、降低胆压、有效控制胆囊急性炎症的发展。部分患者经置管后可痊愈,部分患者经处理度过急性期,为后期外科择期手术创造条件,是患者在不能耐受或暂时不宜外科手术的情况下因各种原因导致胆囊肿大的一种简单有效的急救治疗手段。

PTGD适应症有
(1)急性胆囊炎因年老体弱或其他严重脏器功能异常不能耐受外科手术者;
(2)胆总管下段梗阻伴胆囊肿大,无法手术治疗或经胆道引流失败者;
(3)妊娠期急性胆囊炎可以先行PTGD缓解症状,待产后择期手术切除胆囊;
(4)急性胆囊炎、胆囊肿大有穿孔风险者。
文:龙图娟 张伟
图片、部分资料提供:刘彦
编辑:周雅菁
审核:刘子山
阅读 744分享收藏136写下你的留言