“世界 那么大,
我想 去看看……”
01激情出走

都说阑尾是人体“最宅的器官”——一辈子蹲在右下腹,主打一个躺平
可我的阑尾不一样,它说:“麦氏点?太小了!我要去肝区看风景!”
它瞒着我,收拾细软(带着粪石),顺着结肠一路向北,上演了一出《器官去哪儿》

于是
我的阑尾
离正常位置足足20多个公分!
急诊谜案——蹊跷的腹痛:痛点为何“不按套路出牌”?
近日, 隆回县人民医院接诊了一位奇怪的患者
腹痛伴发热、恶心呕吐一天的小杰1月15日上午急诊入院
腹部CT扫描但见:结肠肝曲肠管欠规整
考虑“结肠肝曲肠管炎性改变”
以“腹痛查因”收住医院胃肠外科对症治疗
入院之后完善相关检查、抗感染及对症支持治疗
中上腹持续性锐痛让患者苦不堪言
全腹部压痛以右中上腹明显,并有反跳痛
15岁少年连呼“受不了!”
如此严重的症状似乎不是普通炎症所能导致
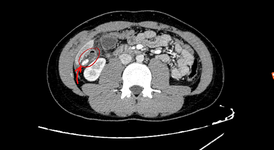
CT追凶——增强CT化身侦探,肝区惊现“神秘房客”!

主管医师第2天再次安排CT增强扫描
医疗团队反复阅片初见端倪:
快看!
结肠肝曲藏了个“高密度结节”,还自带炎性特效!
(CT增强显示:结肠肝曲肠管内高密度结节及周围结构改变,类似于“结肠内异物存留”)

▲CT增强显示:异位到结肠肝曲的阑尾
患者疼痛程度不像普通炎症和结肠内异物导致
反倒类似急性化脓性阑尾炎
但是众所周知
正常阑尾位于人体右下腹
“阑尾炎”的典型症状是“转移性右下腹疼痛”
化脓性阑尾炎所致疼痛以患者右下腹“麦氏点”压痛、反跳痛为主
莫非:小杰是罕见的“异位阑尾”
CT扫描报告中的“结肠内异物”是患者离家出走的阑尾内粪石?
一个念头浮现在从医多年的主管医师刘青云心头
立马将情况反映给医院影像科阮晶铎副主任
两人反复阅片后基本判定结肠异物就是异位阑尾里的粪石
1

导航失灵——阑尾“离家出走”,右下腹“住户”神秘消失
1月17日上午
在静吸复合麻醉下
腹腔镜下探查手术开始
于脐上作弧形切口约1.2厘米
术中探查见患者右侧膈下、结肠沟、盆腔大量脓液
大网膜聚集在右上腹并与周围组织粘连
预料中的右下腹回盲部异常干净、空空如也
果然患者阑尾“离家出走”

▲回盲部(阑尾的正常位置)找不到阑尾
寻宝现场——抽丝剥茧,腹腔镜微创手术终结“离家出走”
手术室突然变成“寻宝现场”
医生细心清除患者右肝下间隙脓液
靠横结肠上缘轻巧地分开肝结肠韧带——
清除脓液及小粪石
“找到了!它在这儿裹着脓苔毯子‘度假’呢!”
结肠肝曲上缘探及被肝结肠韧带覆盖住的阑尾

▲腹腔镜下找到了被肝结肠韧带覆盖的阑尾
那截约6厘米的阑尾,根部穿孔1厘米
里面还“贴心”嵌了颗1.5*1CM的粪石当“旅行纪念品”
周边可见大量脓液及脓苔
主刀医生忍不住调侃:
“别人阑尾发炎是原地躺平,你家这根是跨区置业。”
(别人发炎它发癫,
直接搬家到右上腹!)

腹腔镜下的精准“缉拿”
电钩轻挑,病变阑尾被完整剥离
当它被放入标本袋时,仿佛还带着对“肝区观景房”的不舍
医护团队微笑评价:
“今日完成罕见成就:在非辖区逮捕叛逆阑尾一枚。”
手术顺利完成
术毕患者安返病房
术后查房小剧场:

医生指着小杰纱布覆盖的微创伤口:
“伤口很小,但故事很大——
你的阑尾用一场‘北上之旅’,
给我们上了堂生动的解剖学变异课。”
少年望着天花板喃喃:
“所以它是……嫌弃原来的房子太挤,
独自跑去肝区买‘河景房’了吗?”
医学冷知识新编
“异位阑尾:当你的器官决定
不活在普通教科书的定义里。”
【阑尾漂流记 · 终章】
1月26日是术后第9天,小杰终于拿到了“出院通行证”。
他站在医院门口深吸一口气:“原来肚子不疼的感觉,才是真正的自由。”
主治医师送来最后一份“医嘱彩蛋”:
“恭喜你的阑尾结束‘北漂生涯’,
接下来建议你注意饮食和休息……”
病理科传来阑尾的“最终述职报告”:
“本人(阑尾),编号20260115,
本该任职于右下腹,后自主发起‘肝区开拓计划’,
因在异域开展化脓性温泉业务,
现被永久吊销‘器官执业资格’。
特此证明:叛逆,终将通往病理标本瓶。”

阳光洒在出院单上,小杰笑着摸了摸右上腹——
那里终于恢复了教科书式的宁静。
而这段“阑尾离家出走20多公分”的传奇,
则变成了医院走廊里,
医生们用来提醒实习生“永远对解剖保持敬畏”的
最新爆款教案。
诊断:
1. 急性坏疽性阑尾炎(异位型)伴穿孔伴局限性腹膜炎
2. 腹腔脓肿
补充说明:器官界说走就走的旅行家(已永久截停)

【总结陈词】
身体里的每个零件,
都请好好待在说明书指定的位置。
毕竟——
“安居乐业”这四个字,
对器官和对人类一样重要。
文案设计:龙图娟
资料提供:刘青云(胃肠外科)
部分图片:来源于网络
编辑:宣传科
一审:周雅菁
二审:王永华
三审:王小军