腊月的隆回,年味渐浓。
84岁的易老伯端起那碗鸡汤时,大概不会想到,
这一口温热,会把他带进一场长达14天的生命跋涉。
而故事的另一端,
是一群医护人员,用14天的时间,
帮他打赢了一场最温柔的战争。

剧烈腹痛一天多,一查竟是……
1月25日下午,隆回县人民医院急诊科接诊了一位特殊的患者:
只见84岁的易老伯脸色苍白,捂着肚子直喊腹痛,同时冷汗直冒。家人说,他已经脐周剧烈疼痛1天多,在诊所输液未见丝毫好转。
01
2026
腹痛
急诊

腹痛急诊,元凶锁定!
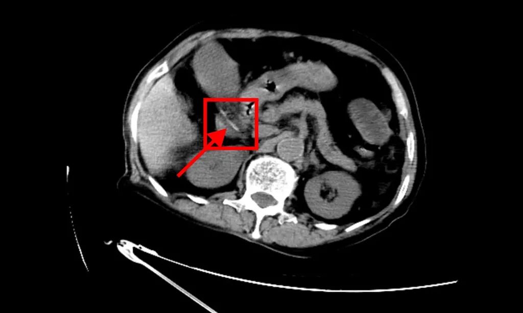
急诊医生迅速开单检查。腹部立位片提示:消化道穿孔可能。随后的腹部CT,给出了更明确的答案——十二指肠水平部有管状高密度影并见游离气体,考虑“消化道异物伴穿孔”!

▲腹部CT发现消化道异物
情况紧急,老人被立即收住医院胃肠外科,准备急诊手术。
84岁高龄,心肺功能差,CT还显示肺部感染、肺气肿、右侧胸腔积液……手术风险一条条摆在眼前:每一道都是手术路上的坎。
不做,穿孔的肠道随时可能危及生命;做,老人的身体能否扛住?
拨开脓苔觅真凶,两处异物终落网
当晚9点10分,无影灯亮起。
一场与时间赛跑的剖腹探查手术紧张展开——

打开腹腔后,腹腔内的情形印证了最坏的预判:大量脓液伴脓苔,病情比预想的更为复杂。
医生首先对感染最严重的十二指肠区域进行松解,在水平部厚厚的脓苔包裹下,一根约0.3厘米粗、3厘米长的异物赫然露出尖端,像钉子一样刺穿了肠壁!小心翼翼地将其取出后,医生对破损的肠壁进行了严密的修补和加固,直至确认滴水不漏。
手术台上


本以为“元凶”已经伏法,但本着对患者负责的态度,手术团队继续向下探查小肠。肠管一寸一寸捋过去,小肠、回肠……在距离回盲部约60厘米处,指尖触到一丝异样。
果断切开肠壁,另一根长条形异物静静蛰伏——约0.8厘米粗、2.5厘米长,正是鸡骨头模样。医生顺利将其取出并缝合肠管。
两块鸡骨
顺利取出

▲顺利取出的两处异物
至此,导致腹腔感染的“罪魁祸首”被全部清除,手术圆满成功——
手术台上所有人既后怕又庆幸:如果今天没发现这位“潜伏者”,几天后,它将发起第二次穿孔攻击。
骨头取出来了,但挽救易老伯生命的战争远未结束。
多学科“接力”闯关,高龄患者重获新生

2026 多学科协作
术中生命体征几度沉浮,消化道穿孔引发的“急性弥漫性腹膜炎”与更凶险的“脓毒血症”交织肆虐,突如其来的凶险房颤更让患者命悬一线,生命在瞬息间滑向深渊。
从无影灯下到重症监护室,一场没有硝烟、却关乎生死的鏖战,已然打响!
24小时心电监护+氧饱监测,持续呼吸机辅助呼吸……在老人性命垂危之际,医院迅速启动多学科会诊机制,临床药学、胃肠血管外科、心血管内科、肝胆疝外科等多个科室轮流集结、开启了一场与死神的“接力赛”,共同制定综合治疗方案。不同的专业,一棒一棒传递着同一个信念:
全力以赴,竭尽全力抢救病人的生命!
没有科室的界限,只有对生命的敬畏。在多学科的协同努力下,老人的生命体征渐趋平稳。
1月27日上午10点12分,随着呼吸机脱机成功的那一刻,所有人悬着的心终于放下了一半。
从ICU到胃肠外科普通病房,从抗感染、加强营养、纠正低蛋白血症到中医科、胸外科后期的联合会诊,治疗的每一步都走得坚定而温暖。老人逐渐脱离危险,病情日益好转。
这场生命的接力,我们跑赢了。

本次成功救治,充分体现了医院多学科协作(MDT)的强大实力与“生命至上”的救治信念。
尾声:
2月7日下午,立春刚过,阳光正好。84岁的易老伯平安出院。
走出医院住院部的那一刻,他再次回头看了一眼。虽然什么也没说,但所有人都知道,这个腊月里,一碗鸡汤带来的惊险,和一群人不言放弃的守护,已经刻进了他的余生。
——谨以此文,致敬所有默默守护生命的医者。
也愿每一位端起汤碗的人——细嚼慢咽,岁岁平安。

下面请看
相关科普内容:
小小鸡骨头,何以成为“肠道杀手”?
您可能会奇怪,我们常说“食鸡去骨”,不就是怕卡住喉咙吗?怎么吃进肚子里的骨头,还能引起肠穿孔?
这绝不是危言耸听。
这根看似不起眼的鸡骨头,实则是一把危险的“隐形尖刀”。当我们匆忙吞咽时,它可能随着食物躲过牙齿的研磨,开启一段危险的消化道之旅。人体的消化道并非光滑如镜,存在着几处生理性的狭窄和拐角。尖锐的鸡骨头在通过食道、胃部,特别是细长弯曲的小肠(尤其是回肠)时,极易像刀片一样直接刺穿薄薄的肠壁。
一旦肠壁被刺破,问题就大了。具有强腐蚀性的消化液、未被消化的食物残渣以及大量细菌,会通过这个破口涌入原本无菌的腹腔,引发急性弥漫性腹膜炎和严重感染。如果处理不及时,可能迅速进展为感染性休克,直接危及生命。
很多人误吞异物后没有感觉,以为“吞下去就没事了”,这恰恰是最大的误区。由于骨头细小,X光有时也无法显影,诊断常常被延误。临床上,很多患者直到肚子痛了好几天、甚至出现腹膜炎症状才就医,而此时往往已经酿成大祸。




【健康提醒】
1. 细嚼慢咽是关键:进食带骨肉类时务必放慢速度,集中注意力,将骨头彻底剔除。
2. 摒弃侥幸和“土方法”:一旦怀疑误吞尖锐异物,千万不要尝试吞饭团、馒头强行推下,这可能导致骨头刺入更深。
3. 警惕危险信号:若进食后出现持续的剧烈腹痛、腹肌紧张、发热等症状,必须立即就医,刻不容缓。
文案设计:龙图娟
病例资料及手术图片提供:王凤先 吴宇帆 周婷(胃肠外科)
部分图片:来源于网络
编审:宣传科
二审:王永华
三审:王小军